MN La importancia de estar por la Región de Murcia
|

Científicos valencianos y americanos organizan un 'challenge' para detectar Covid en radiografías de tórax

Agencia EPAgencia EP - 15 de Febrero, 2021
Científicos valencianos y americanos organizan un 'challenge' para detectar Covid en radiografías de tórax

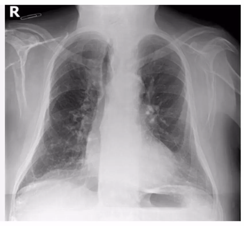
Personal científico de la Fundación para el Fomento de la Investigación Sanitaria y Biomédica de la Comunitat Valenciana (Fisabio), en colaboración con la Society for Imaging Informatics in Medicine (SIIM), ha convocado un 'challenge' o desafío científico a nivel internacional para la detección de Covid-19 en radiografías de tórax a través de Inteligencia Artificial (IA).

El desafío científico se realizará en 'Kaggle', una plataforma de aprendizaje automático o 'Machine Learning' que reúne a cientos de miles de personas expertas en desafíos de toda índole, a nivel mundial, basados en ciencia de datos, ha indicado la Generalitat en un comunicado.

Esta competición se enmarca en el proyecto 'Construcción de un dataset en abierto, para la detección precoz de neumonía por Covid-19 a partir de una radiografía simple de tórax', liderado por María de la Iglesia-Vayá, en colaboración con José María Salinas.

El proyecto, más conocido como 'BIMCV-COVID-19', se inspiró en el proyecto 'PADCHEST' de la doctora Aurelia Bustos y fue seleccionado y financiado por la Conselleria de Innovación, Universidades, Ciencia y Sociedad Digital en la 'Llamada al Sistema Valenciano de Innovación e Investigación', en colaboración con la Conselleria de Sanidad Universal y Salud Pública, que autorizó el proyecto desde sus inicios.

Asimismo, el trabajo ha sido valorado "positivamente" por muchos laboratorios a nivel mundial y la Society for Imaging Informatics in Medicine se puso en contacto con el equipo del Banco de Imágenes Médicas de la Comunitat Valenciana para realizar este 'Challenge de Kaggle' en la detección de Covid-19 a través de la Radiología convencional de tórax.

El desafío se convocará próximamente a nivel mundial para que participen científicos de todos los países y aporten "todo su talento" en esta causa.

IA CONTRA LA COVID-19

Los científicos han recopilado datos de radiografías torácicas de pacientes de la Comunitat Valenciana para generar modelos predictivos que utilicen la IA. Estos modelos son supervisados por radiólogos especialistas con el fin de detectar de forma temprana la neumonía por Covid-19 en pacientes con síntomas leves.

Igualmente, permite ayudar a la estratificación del riesgo de pacientes con síntomas moderados y ayudar a identificar a pacientes con mayor riesgo de evolución a una condición grave o crítica. Los datos son totalmente anónimos y la información recabada hace referencia únicamente a aspectos clínicos.

El objetivo es generar un conjunto de datos en abierto (dataset OPEN) reconocido a nivel mundial como uno de los datasets "más completos y organizados", que permita a los científicos de datos trabajar en desarrollos de algoritmos de Inteligencia Artificial para elaborar modelos predictivos y desarrollar herramientas orientadas al diagnóstico simple, rápido y efectivo de la Covid-19. Asimismo, pretende ayudar a agilizar la carga de trabajo de los profesionales sanitarios.

Actualmente se han compartido más de 12.456 sesiones de radiografías de tórax pertenecientes a unos 4.706 sujetos con patología Covid. Además, se cuenta con más de 6.012 sesiones de radiografías pertenecientes a unos 4.437 pacientes sanos o con distintas patologías provenientes de los sistemas de información sanitarios de la Conselleria de Sanidad Universal y Salud Pública, que serán la base con la que se iniciará este desafío científico.

La respuesta ha sido "muy positiva", con descargas desde todos los continentes y con un "amplio" reconocimiento a nivel mundial. Para ello, ha sido fundamental la colaboración del Centro de Investigación Príncipe Felipe (CIPF) y del Barcelona Supercomputer Center (BSC-CNS) que ha proporcionado una instancia de B2DROP para la distribución de este trabajo. B2DROP es parte de los servicios de infraestructura de datos colaborativos de EUDAT (www.eudat.eu)

En este momento, el equipo de radiólogos del Hospital San Juan de Alicante, liderado por su jefe de servicio, el doctor Joaquín Galán, junto con la doctora Aurelia Bustos, realizan un etiquetado previo necesario para preparar los datos de modo que los científicos puedan realizar buenos modelos predictivos.

En la construcción del dataset 'BIMCV-COVID-19' se han tenido en cuenta los cuatro principios fundamentales FAIR para el manejo de datos científicos: capacidad de búsqueda, accesibilidad, interoperabilidad y reutilización.

En esta línea, la intención del equipo investigador es que los principios se apliquen no solo a los datos en el sentido convencional, sino también a los algoritmos, herramientas y flujos de trabajo. La aplicación de estos principios a todas las fases del proceso de investigación garantiza la transparencia, la reproducibilidad y la reutilización.

Por último, se va a incorporar este dataset como un nuevo caso de uso para la evaluación de las librerías europeas (EDDL & ECVL) que se desarrollan dentro del marco del proyecto Europeo DeepHealth.

El equipo investigador está compuesto por Marisa Caparrós; los data curators Joaquim Ángel Montell, José Manuel Saborit y Elena Oliver; además de investigadores de la Universidad de Alicante, la Universidad Miguel Hernández, Medbravo, Sierra Research y la colaboración de General Electric. También ha colaborado en la definición inicial del proyecto el servicio técnico de la Delegación de Protección de Datos de la Generalitat.

Queremos saber qué te ha parecido

Ya has votado esta pregunta con anterioridad

Noticias Relacionadas

La disponibilidad de más vacunas aumenta el ritmo de vacunación en España

12 de Febrero, 2021

Esta misma semana se comenzaba a distribuir, y administrar, la vacuna de AztraZeneca y Oxford. Con esta, ya son tres las dosis diferentes que dispone España, lo que ha hecho acelerar el ritmo de vacu...

PSOE critica la lista de vacunados era un "caos indescriptible" y lamenta que "se ríen de todos"

12 de Febrero, 2021

El Grupo Parlamentario Socialista en la Asamblea Regional (PSOE) ha criticado que la lista de vacunados que le ha proporcionado la Consejería de Salud a los parlamentarios este viernes para su revisi...

La Policía Local de Murcia sanciona a más de 500 personas este jueves por incumplir la normativa anticovid

12 de Febrero, 2021

La Policía Local de Murcia ha sancionado este jueves a 519 personas por incumplir las medidas sanitarias decretadas para combatir el avance del coronavirus, según informaron fuentes del Cuerpo en su...

Cinco diputados de la Asamblea acudirán este viernes a la Consejería de Salud para conocer la lista de cargos vacunados

12 de Febrero, 2021

La Cámara constituirá también la Comisión de Investigación sobre el proceso de vacunación Los diputados del PSOE Alfonso Martínez Baños y José Antonio Peñalver; de VOX, Pascual Salvador y M...

La Región de Murcia acumula 19.291 ERTE desde el inicio de la pandemia, con más de 104.000 empleados afectados

12 de Febrero, 2021

MURCIA, 12 (EUROPA PRESS) El número de Expedientes de Regulación Temporal de Empleo (ERTE) registrados en la Región de Murcia desde el inicio del estado de alarma, el 14 de marzo de 2020, asci...

Copyright©2023. All Rights Reserved. | | |