MN La importancia de estar por la Región de Murcia
Buscar |

Investigadores del CSIC identifican mutaciones en un gen vinculadas al desarrollo de linfomas

ContenidosContenidos - 20 de Octubre, 2021
Investigadores del CSIC identifican mutaciones en un gen vinculadas al desarrollo de linfomas

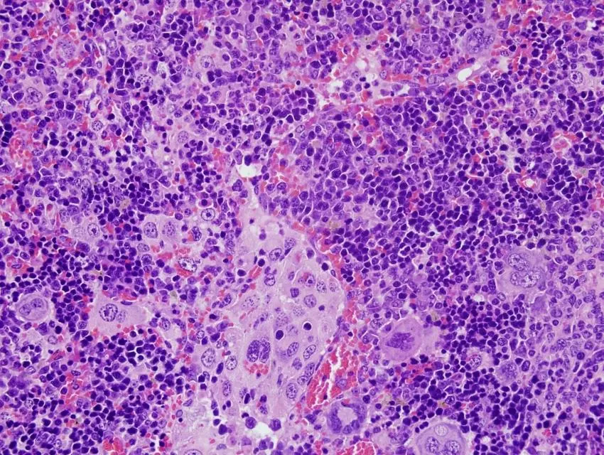
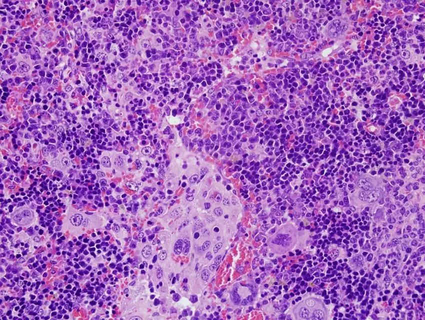
Un equipo liderado por investigadores del Centro de Investigación del Cáncer, centro mixto del Consejo Superior de Investigaciones Científicas y la Universidad de Salamanca (CIC-CSIC-USAL), ha realizado un catálogo completo de las mutaciones de un gen presentes en el linfoma periférico de células T, un tipo de tumor de los glóbulos blancos de la sangre.

El estudio, publicado en la revista 'EMBO Journal', identifica los diferentes tipos de mutaciones que provocan la activación descontrolada de este gen, denominado VAV1. Su identificación puede contribuir al desarrollo de fármacos específicos personalizados para frenar la progresión de esta patología, que se caracteriza por su agresividad, la falta de tratamientos efectivos y la alta mortalidad.

El estudio ha sido posible gracias a la financiación recibida desde la Fundación 'La Caixa', la Asociación Española contra el Cáncer (AECC), el Ministerio de Ciencia e Innovación, el Instituto de Salud Carlos III y la Junta de Castilla y León.

Los linfomas periféricos de células T se desarrollan a partir de los linfocitos T, unas células del sistema inmune cuya función es reconocer y destruir aquellas células que se han convertido en peligrosas, bien por haberse transformado en células cancerosas o por haber sido infectadas por virus como, por ejemplo, el SARS-CoV-2. Estas funciones positivas, sin embargo, se vuelven dañinas cuando los linfocitos T sufren alteraciones genéticas que los hacen proliferar de forma descontrolada y promover la formación de linfomas.

En este trabajo los investigadores demuestran que el 51% de mutaciones que afectan al gen VAV1 promueven su activación descontrolada y que, además, dichas alteraciones no son todas iguales. "Existen cinco tipos diferentes y, según la mutación que se presente, se desarrollan distintas características clínicas tanto desde el punto de vista de su malignidad como de las opciones terapéuticas", explica Javier Robles Valero, autor del estudio junto con Xosé R. Bustelo, ambos investigadores del CIC.

El subtipo funcional más frecuente de las mutaciones de VAV1 en los tumores humanos actúa como un driver (conductor) plenamente autónomo, es decir, capaz de inducir el cáncer cuando se expresa en las células T sanas sin necesidad de alteraciones genéticas en otros genes. "Esta observación subraya más el hecho de que la presencia de estas mutaciones no es trivial, sino que son las principales responsables del origen del tumor", añade.

Hasta ahora se desconocía la relevancia de las mutaciones del gen VAV1 en el plano funcional y clínico. Gracias a este trabajo se sabe cuáles son importantes, qué hacen y cómo influyen en la adquisición de las propiedades malignas de las células tumorales

El estudio también ha desarrollado un modelo animal que permite generar linfomas en ratones tras la expresión de mutantes de VAV1 en linfocitos T sanos. "Usando técnicas genómicas y bioinformáticas hemos podido comprobar que estos linfomas reproducen la gran mayoría de las características clínicas, patológicas y moleculares de los linfomas periféricos de células T en los pacientes", añade el investigador del CSIC.

El nuevo modelo animal ha permitido desarrollar por primera vez linfomas de células T muy similares a los de los pacientes, algo que permitirá identificar con más facilidad los puntos débiles de los linfomas, diseñar fármacos específicos y probar su efectividad antes de iniciar los estudios clínicos en humanos. "Esto es especialmente relevante en este tipo de tumores, dada la dificultad que ha existido hasta ahora para clasificarlos, estudiarlos y tratarlos de forma eficaz", concluye.

En el trabajo han colaborado también investigadores de la Universidad de Salamanca, el CSIC y el CIBERONC.

 

Queremos saber qué te ha parecido

Ya has votado esta pregunta con anterioridad

Noticias Relacionadas

La Comunidad reduce un 16% el consumo energético en depuración de aguas en cuatro años

29 de Abril, 2026

La Comunidad reduce un 16% el consumo energético en depuración de aguas en cuatro años La consejera Sara Rubira destaca la apuesta del Gobierno regional por la tecnología y la inteligencia artific...

Administración, empresas y centros de investigación debaten en Murcia sobre el ciclo urbano del agua

28 de Abril, 2026

Administración, empresas y centros de investigación debaten en Murcia sobre el ciclo urbano del agua La Región acoge la asamblea nacional de la Asociación Española de Aguas Urbanas DQUAS El encue...

El Gobierno regional refuerza su liderazgo en investigación marina y economía azul

28 de Abril, 2026

El Gobierno regional refuerza su liderazgo en investigación marina y economía azul El consejero de Medio Ambiente se reúne con la secretaria general de Investigación del Ministerio para tratar pro...

La Región de Murcia se suma al proyecto europeo GreenCoop para acelerar la transición verde en el medio rural

26 de Abril, 2026

La Región de Murcia se suma al proyecto europeo GreenCoop para acelerar la transición verde en el medio rural La iniciativa, financiada al cien por cien por la Unión Europea a través de Horizonte ...

Un 4,2 por ciento de la población regional está calificado como crónico de alta complejidad

26 de Abril, 2026

Un 4,2 por ciento de la población regional está calificado como crónico de alta complejidad El 66 por ciento padece al menos una enfermedad de curso crónico leve Las enfermedades crónicas más fr...
Copyright©2026. All Rights Reserved. | | |