La miastenia gravis es una enfermedad neuromuscular relativamente rara en la cual los músculos voluntarios se cansan y debilitan fácilmente porque hay un problema con la forma en que los nervios estimulan la contracción de los músculos. Es un trastorno autoinmune.
«Miastenia gravis» significa literalmente «debilidad muscular grave», pero muchos casos son leves y la esperanza de vida es normal.
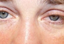
Los músculos alrededor de los ojos tienden a ser afectados primero, causando que los párpados se caigan. Los pacientes pueden experimentar visión doble, debilidad en los brazos y las piernas, y dificultades para masticar, tragar, hablar y respirar. Los músculos involuntarios, como los músculos del corazón, no se ven afectados.
Los síntomas a menudo empeoran con la actividad física y mejoran después de descansar o dormir bien por la noche. No hay cura, pero el tratamiento puede aliviar e incluso eliminar los síntomas.
La afección afecta de 14 a 20 personas por cada 100,000 en los Estados Unidos, o entre 36,000 y 60,000 personas. Puede ocurrir a cualquier edad, pero es más probable que afecte a las mujeres antes de los 40 años y a los hombres después de los 60 años.
Miastenia gravis tratamiento
No existe una cura para la miastenia gravis, pero el tratamiento con inmunosupresores o inhibidores de la colinesterasa puede ayudar a controlar los síntomas. Muchos pacientes encuentran que con el tratamiento, y un sueño y descanso adecuados, pueden continuar con su rutina normal.
Los medicamentos incluyen:
Inhibidores de la colinesterasa: mejoran la comunicación entre los nervios y los músculos, y son efectivos en pacientes con síntomas leves de MG.
Los esteroides, como la prednisolona o los inmunosupresores, como la azatioprina, pueden alterar el sistema inmunitario del cuerpo y producir menos anticuerpos que causen la MG.
Por lo general, toma alrededor de 4 semanas para que los esteroides entren en vigencia. La azatioprina puede tomar de 3 a 6 meses, pero produce una reducción significativa o la eliminación completa de los síntomas. En el caso de un tumor, la glándula del timo se puede extirpar quirúrgicamente en una timectomía.
Para los pacientes con síntomas graves o que amenazan la vida, la plasmaféresis y la terapia con inmunoglobulinas se pueden administrar en el hospital. La plasmaféresis consiste en agotar el cuerpo del plasma sanguíneo sin agotar el cuerpo de las células sanguíneas, con el fin de eliminar los anticuerpos no deseados.
El tratamiento con inmunoglobulina intravenosa implica inyectar al paciente anticuerpos normales que cambian la forma en que actúa el sistema inmunitario. Estos tratamientos son efectivos y funcionan rápidamente, pero los beneficios duran solo unas pocas semanas, por lo que este es un tratamiento a corto plazo.
Miastenia gravis síntomas
Los síntomas de la miastenia gravis (MG) varían ampliamente. En algunas personas, solo los músculos oculares se verán afectados, mientras que en otros puede afectar muchos músculos, incluidos los que controlan la respiración.
El síntoma más frecuente es la fatiga.
La caída en uno o ambos párpados, visión doble o ambos son signos precoces en 2 de cada 3 pacientes. Esto puede causar problemas de visión y se conoce como miastenia gravis ocular.
En 1 de cada 6 pacientes, los músculos de la garganta y la cara son los primeros afectados.
Pueden tener problemas con:
- La capacidad de hablar: el habla puede volverse suave o nasal.
- Deglución: la persona puede ahogarse fácilmente, y comer, beber y tragar píldoras se vuelve más difícil. Cuando la persona bebe, puede salir líquido por la nariz.
- Masticar: Los músculos utilizados para masticar pueden debilitarse durante una comida, especialmente si la comida es dura o masticable, como un bistec.
- Expresiones faciales: una sonrisa diferente o inusual puede desarrollarse si ciertos músculos faciales se ven afectados.
La debilidad de los miembros es el primer signo en el 10 por ciento de los pacientes. Los músculos del brazo y la pierna pueden debilitarse, afectando actividades como levantar o caminar.
Cuando los músculos de las extremidades están involucrados, otros músculos también tienden a verse afectados, como la garganta, los ojos o la cara. Los síntomas a menudo empeoran progresivamente durante los períodos de actividad, pero mejoran después de descansar.
¿Qué es una crisis miasténica?
Una crisis miasténica es cuando los músculos respiratorios se paralizan. El paciente necesita ventilación asistida para mantenerse con vida.
Si un paciente ya tiene músculos respiratorios debilitados, una crisis miasténica puede desencadenarse por infección, fiebre, una reacción adversa a algún medicamento o estrés emocional.
Complicaciones
En una crisis miasténica, los músculos respiratorios se vuelven tan débiles que el paciente no puede respirar adecuadamente.
Esta complicación potencialmente mortal requiere tratamiento de emergencia con asistencia respiratoria mecánica. Las terapias de plasmaféresis e inmunoglobulina pueden ayudar. Las personas con una enfermedad autoinmune a menudo son susceptibles a otra. Una persona con MG puede tener una segunda condición autoinmune.
Otras condiciones incluyen:
- Problemas de tiroides: estos incluyen tiroides hiperactiva o hipoactiva. La glándula tiroides es una pequeña glándula en la parte delantera del cuello que secreta hormonas que regulan el metabolismo.
- Lupus: esta es una enfermedad autoinmune que puede provocar inflamación, hinchazón y daños en las articulaciones, la piel, los riñones, la sangre, el corazón y los pulmones.
- Artritis reumatoidea: esta es una enfermedad progresiva e incapacitante crónica que causa inflamación y dolor en las articulaciones, el tejido alrededor de las articulaciones y otros órganos en el cuerpo humano.
Se están realizando estudios para encontrar tratamientos más efectivos para la MG. El trasplante de células madre podría ser una opción.
Panorama
Los síntomas generalmente son más graves en los 2 a 3 años posteriores al diagnóstico. Sin embargo, las personas con MG pueden vivir una vida sin ataques regulares, siempre y cuando se apeguen a un plan de tratamiento regular.
La condición se extiende por todo el cuerpo en la mayoría de las personas. Sin embargo, el 20 por ciento de las personas solo ven los efectos de la MG en los ojos.
Algunas personas pueden experimentar un caso mortal de MG, pero estas son raras. La mayoría de las personas con MG no ven un cambio en la esperanza de vida.
Miastenia gravis causas
MG es un trastorno autoinmune. Un trastorno autoinmune se desarrolla cuando el sistema inmune de una persona ataca los propios tejidos corporales.
El sistema inmunitario está diseñado para encontrar y destruir cualquier invasor no deseado, como bacterias, toxinas o virus. En una persona con una enfermedad autoinmune, los anticuerpos circulan en la sangre y atacan las células y los tejidos sanos por error.
En el caso de la MG, los anticuerpos bloquean o destruyen las células receptoras de los músculos, lo que da como resultado menos fibras musculares disponibles. Como resultado, los músculos no se pueden contraer correctamente y se cansan y debilitan fácilmente.
Se desconoce exactamente por qué sucede esto, pero la glándula del timo, ubicada en el pecho superior debajo del esternón, parece jugar un papel clave.
La glándula del timo es grande durante la infancia y continúa creciendo hasta la pubertad. Después de esto, se vuelve más pequeño y, finalmente, se reemplaza con grasa. Un número significativo de pacientes adultos con MG tienen una glándula timo anormalmente grande, y aproximadamente 1 de cada 10 pacientes con MG tienen un tumor benigno en la glándula del timo.
Algunos medicamentos o virus pueden desencadenar la aparición de MG. Los fármacos que pueden empeorar los síntomas en pacientes susceptibles incluyen bloqueadores beta, bloqueadores del canal de calcio, quinina y algunos antibióticos.



